Recommended
あい歯科からのおすすめ
金属のバネのない入れ歯、バルプラスト
バルプラストの入れ歯
- 弾力性のある高い素材により薄い仕上がり、お口の中が快適です。
- 装着したときは入れ歯の色調が同化しているため、一目では区別がつきません。
- 金属のバネがないので金属アレルギーの心配もありません。
従来の入れ歯との比較
バネ式の入れ歯
バルプラスト
| 一般的な入れ歯 | バルプラスト | |
| 審美性 | 金属のバネがあるので目立つ | 金属を使用していないので境目が目立たない |
| 装着感 | 違和感が出やすい | 歯肉にフィットするので違和感が出にくい |
| 強さ | 割れやすい | 弾力性があるので壊れにくい |
| 重さ・厚さ | 重く、厚さも感じられる | 従来の入れ歯の1/2の重さ 軽く、薄い仕上がり |
| 咬合圧の負担部位 | 歯肉、歯の両方 | 大部分が歯肉 |
| 食べ物 | お餅、ガムなどが付着しやすい | 従来の入れ歯に比べると付着しにくい |
| アレルギー | 金属アレルギーの方は注意が必要な場合もある | 金属アレルギーの心配はなし |
| 治療費 | 保険 | 自費 |
| 製作期間 | 2週間前後 | 一ヶ月前後 |
| 型を取ってからできあがるまでの日数 | 約3回 ※状態によって変動あり | 約3回 ※状態によって変動あり |
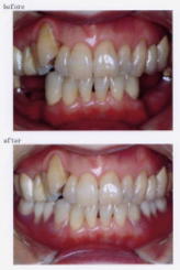
歯を白くしたい!ホワイトニング
短期間で安全かつ効果的なシステムを採用しています。
あい歯科ではオフィスホワイトニングとホームホワイトニングをお選び頂けます。
治療時間は掛っても一回で結果を出したい方は
『オフィスホワイトニング』を・・・
一回の治療時間を短くしたい方はご自宅で出来る
『ホームホワイトニング』を・・・
注意!!
- まず、虫歯の治療からです。汚れも取り、お口の中がきれいな状態になってから開始になります。
- 白さには個人差があります。
- 人口歯には効果がありません。
- 知覚過敏の方は使用できません。
詳しくはスタッフまでお気軽にお問い合わせ下さい。
歯周病予防
健康な歯のための「5カ条」
- 食事はしっかり噛んで
だ液の分泌を促す食生活を!
- 甘いものは食後のデザートにまとめて
食後は即うがいor歯みがき
- タバコ、お酒の後はお口のケアを
細菌を繁殖させないケアが大切
- むし歯予防はフッ素が決め手
フッ素入りの歯みがき粉やうがい液が便利!
- 痛くなくても歯科医院へ
定期的なチェックが歯の健康を守ります!
歯周病の根本的な原因は『歯垢(プラーク)』で、歯垢(プラーク)は毎日の歯磨き等で取り除く事が可能なのですが、実際には歯磨きの仕方が間違っていたりして完全に取り除けていないことが多く、歯垢(プラーク)は時間が経てば歯磨きでは取り除くことができない『歯石』になり、歯石は歯周病菌の格好の棲家となるため早めに取り除かなければドンドン歯周病が進行してしまうのです。
また歯周病になってしまえば歯周ポケットが深くなり、歯周ポケットに溜まった歯垢(プラーク)、歯石は歯磨きでは取り除く事が難しくなるため、これまた歯周病の症状が進行していってしまうのです。
そこでこれらの『歯石・歯垢(プラーク)』を歯医者で除去してもらい、再び付着しづらくしてもらう治療法が『スケーリング』で、歯磨きでは取り除けない歯石はもちろん、取り除けていない歯垢(プラーク)を歯医者で除去することによって炎症が収まっていき、歯周ポケットの深さも浅くなりますので歯周病の進行を抑え、症状の改善が期待できるのです。
しかし歯垢(プラーク)は食事をすれば歯や歯の周りに付着して行きますので、スケーリング&ルートプレーニング後でも毎日の歯磨き等で除去していかなければ再び歯石となってしまいますので、歯周病治療は歯医者にまかせっきりにするのではなく、自分でも積極的に治療に参加することがとても大切なのです!
また歯周病になってしまえば歯周ポケットが深くなり、歯周ポケットに溜まった歯垢(プラーク)、歯石は歯磨きでは取り除く事が難しくなるため、これまた歯周病の症状が進行していってしまうのです。
そこでこれらの『歯石・歯垢(プラーク)』を歯医者で除去してもらい、再び付着しづらくしてもらう治療法が『スケーリング』で、歯磨きでは取り除けない歯石はもちろん、取り除けていない歯垢(プラーク)を歯医者で除去することによって炎症が収まっていき、歯周ポケットの深さも浅くなりますので歯周病の進行を抑え、症状の改善が期待できるのです。
しかし歯垢(プラーク)は食事をすれば歯や歯の周りに付着して行きますので、スケーリング&ルートプレーニング後でも毎日の歯磨き等で除去していかなければ再び歯石となってしまいますので、歯周病治療は歯医者にまかせっきりにするのではなく、自分でも積極的に治療に参加することがとても大切なのです!
あい歯科では、定期健診をすすめています。
歯周病になってからでは遅いのです!日ごろから歯をきれいにし、健康な歯を目指しましょう!!
口臭が気になる!
まずは、正しい歯磨きを教わりましょう!!
それでも改善されない方は他にも問題があるかもしれません。
原因と考えられること
- 虫歯や歯周病になっている
- 銀歯や白いかぶせものが合っていない
- 唾液の量が少ない
- タバコを吸っている
- 口の中が不衛生
など、さまざまな原因があります。
虫歯があったり、歯周病になっていたり、合っていないかぶせものの歯や詰め物などがお口の中に入っていたりするとプラークコントロールをしっかりとすることが出来なくなり、その結果お口の中が不衛生になって口臭が出てきてしまうことがあります。
このような場合には、虫歯や歯周病の治療、適合していないかぶせものの部分の再治療などをしない限り口臭も改善しません。
かぶせものが適合していない場合は歯ブラシが届きにくく虫歯にもなりやすいのです。
虫歯は自分で気が付く可能性が高いですが、歯周病や歯科治療の良し悪しは歯医者さんに診てもらわなくては分からない場合がほとんどです。そのため、口臭がなかなか改善しない場合には一度これらのチェックをしてもらった方が良いでしょう。
また、これらの治療をすることは口臭だけではなく、歯そのものを守るためにも重要です。
思い当たったり、気になる方はまず検査をしてみましょう!
このような場合には、虫歯や歯周病の治療、適合していないかぶせものの部分の再治療などをしない限り口臭も改善しません。
かぶせものが適合していない場合は歯ブラシが届きにくく虫歯にもなりやすいのです。
虫歯は自分で気が付く可能性が高いですが、歯周病や歯科治療の良し悪しは歯医者さんに診てもらわなくては分からない場合がほとんどです。そのため、口臭がなかなか改善しない場合には一度これらのチェックをしてもらった方が良いでしょう。
また、これらの治療をすることは口臭だけではなく、歯そのものを守るためにも重要です。
思い当たったり、気になる方はまず検査をしてみましょう!
